保存的な治療では改善が難しい場合には、「人工足関節全置換術(TAA)」という手術が選択されます。これは、すり減ってしまった足くびの関節を削り、金属や医療用プラスチックでできた人工の関節に置き換える手術です。
関節の動きを残したまま痛みを軽減できることが大きな特徴で、術後は歩行や階段の昇り降りが楽になるケースが多く見られます。
当院では、以下の2つの人工関節のタイプを症例に応じて使い分けています。
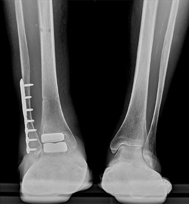
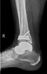
足くびの人工関節に加えて、足くびの中心にある「距骨(きょこつ)」という骨をセラミック製の「人工距骨」に置き換えます。セラミック製の人工距骨は強度が高く、生体とのなじみも良いです。
人工距骨の設計は、患者さんそれぞれのCT画像をもとに設計・製造された完全オーダーメイドです。完成までに2ヵ月程度かかります。
術前

術後

cTAAに適している方
これまで手術が難しかったような複雑な症例にも対応できる、非常に有用な方法です。
足くびの外側から手術を行う外側侵入型の人工足関節です。
この手術では、まず腓骨を骨切りし、足くびの外側からアプローチします。そこから脛骨と距骨で構成される「距腿関節(きょたいかんせつ)」の表面を削り、人工関節を設置します。特に、距腿関節のみが変形しており、距骨自体のつぶれや他の関節の障害がない方に向いています。人工関節は金属と医療用の特殊な素材でできています。
術前

術後

外側侵入型人工足関節全置換術が適している方
当センターでは、特徴の異なる2種類の人工足関節を、患者さん一人ひとりの状態に応じて適切に選択し、治療を行っています。
2機種を使い分けて治療を行う体制を整えた施設は全国的にも大変限られていますが、当センターの持つ、高い専門性と技術力がこれを実現しています。
手術を迷っている方、他院で「難しい」と言われた方も、ぜひ一度ご相談ください。
人工距骨置換術とは
人工距骨置換術は、壊死や変形が進行した距骨をセラミック製の人工距骨に置き換える手術です。セラミックは高い耐久性と生体への親和性を持ち、足くびの中でも安定して機能する素材です。
人工距骨は、CT画像から患者さんの足の形に合わせて作られたオーダーメイドの人工距骨を使用します。これにより、関節の動きや足のバランスをできる限り自然に近い状態で置換することが可能です。
人工距骨置換術の最大の魅力は、関節を固定せず、日常生活に必要な足くびの動きを保ちつつ、痛みの改善が期待できる点にあります。周りの関節に変化がでない、なるべく早い時期に手術をすることが望ましいです。
再び自分の足でしっかりと歩けるようになり、外出や旅行などを楽しめるようになったと実感される患者さんも多くいらっしゃいます。
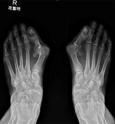
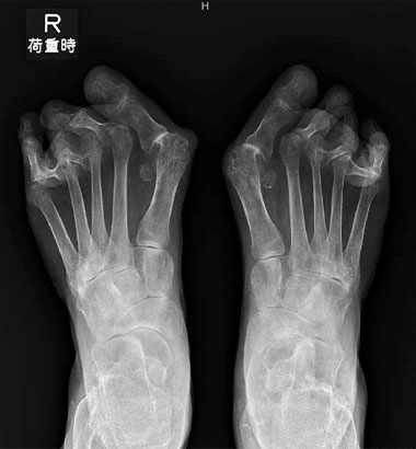
外反母趾やあしゆびの変形に対しては、変形の程度、痛みの強さ、関節の状態、生活スタイルなどを総合的に判断し、患者さん一人ひとりに最適な術式を選択します。
骨幹部骨切り術 (Mann変法):
あしのおやゆびの骨(第1中足骨)を切り、おやゆびの角度を調整し、変形を矯正する方法です。
術前

術後

TMT関節固定術 (Lapidas変法):
あしのおやゆびの根元の関節(第1足根中足関節:TMT関節)の表面の軟骨を削り、骨の長さと位置を矯正し、関節間をプレート固定する方法です。
MTP関節固定術:
あしのおやゆびの関節(MTP関節)の軟骨を削り、おやゆびをまっすぐな位置に戻した状態で、プレート固定する方法です。
術前

術後

中足骨短縮骨切り術:第2~5番目の骨(第2~5中足骨)を切り、短くすることで、タコの原因となる足底にかかる圧を軽減します。中足骨を短くしても、小さい足になることはありません。
特に重度の外反母趾やリウマチに伴うあしゆび変形に対して、関節を温存しながら機能を再建するための術式として、CMOS(Combination Metatarsal Osteotomies for Shortening)法を導入しています。
CMOS法では、以下のような骨切り術を症例に応じて組み合わせます:
これにより、以下のようなメリットが得られます:
CMOSは、関節を犠牲にせずにあしゆびのバランスと機能を再建できる術式であり、当センターでは、重度変形症例に対して積極的に導入しています。
術前

術後

あしゆびの変形や痛みは、時間とともに進行することがあります。「靴が合わない」「長時間歩けない」「足の裏が痛い」などのお悩みがある方は、早めにご相談いただくことで、より体に優しい治療法を選択できる可能性があります。
当センターでは、足の機能と見た目の両面からのバランスを考慮し、患者さんのライフスタイルに合ったオーダーメイドの治療を行っています。どんな些細なことでも、お気軽にご相談ください。
初期の段階では、足底挿板(インソール)などを用いた保存療法を行い、偏平足の進行を遅らせます。
痛みが続いたり、変形が進むと、手術による根本的な治療が必要になることがあります。
当院では、変形の程度や関節の状態、患者さんの生活スタイルに応じて、複数の術式の中から最も適した方法を選択しています。
主な手術法には以下のようなものがあります:
これらを単独または組み合わせて行い、できるだけ痛みを軽減し、歩行や立位の安定性を回復することを目指します。
当院では、リウマチによる足部変形に対しても、可能な限り関節を残す「関節温 存手術」を優先的に行っています。あしゆび変形治療の詳細については 「外反母趾・あしゆび変形に対する手術治療」を参照してください。
一方で、中足部や後足部の変形が進んでおり、関節の破壊が強い際には、関節固定術や「人工足関節全置換術」を選択することがあります。
扁平足やリウマチによるあしの変形は、放置していると少しずつ進行し、やがて日常生活にも大きな影響を与えることがあります。
当センターでは、手術をしない治療から高度な技術を要する手術まで幅広く対応可能な体制を整えており、専門医が患者さん一人ひとりの足の状態を丁寧に評価し、最適な治療をご提案しています。
「足の形がおかしいかも」「歩くと痛い」「足のバランスが崩れてきた」と感じる方は、ぜひ一度ご相談ください。
Copyright © 2021 Fuchu Keijinkai Hospital Artificial joint Center all rights reserved.